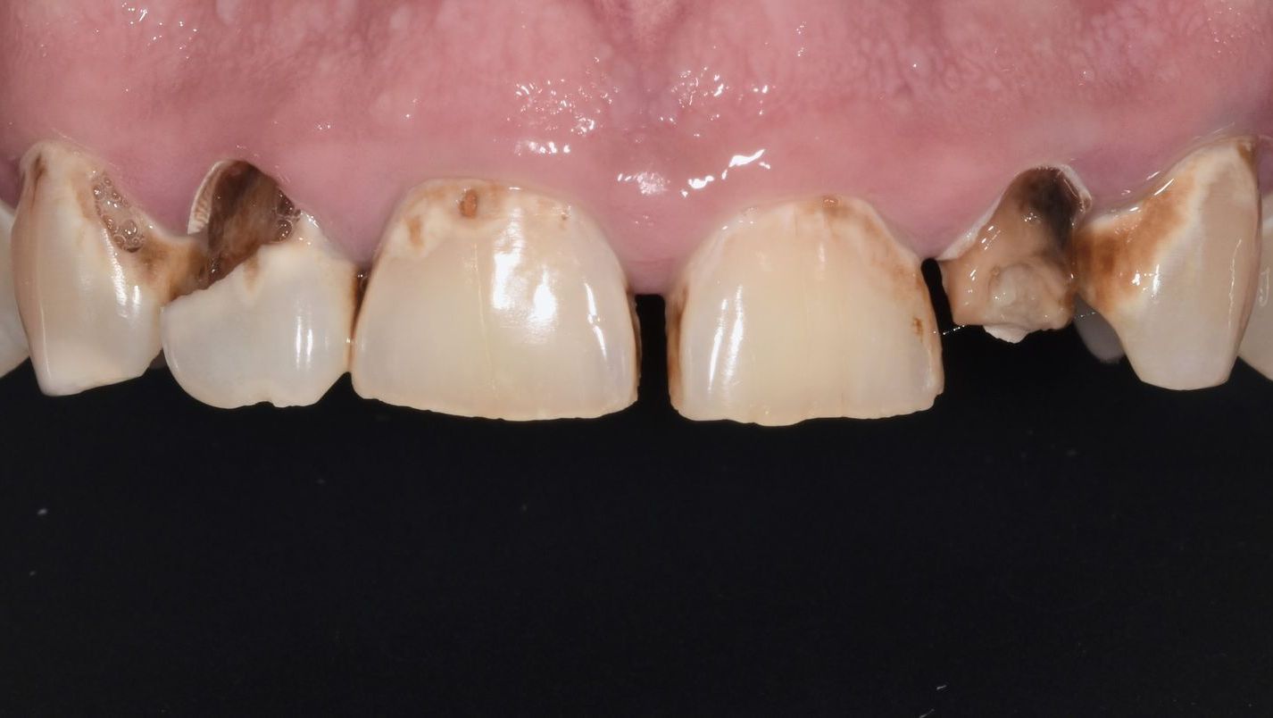
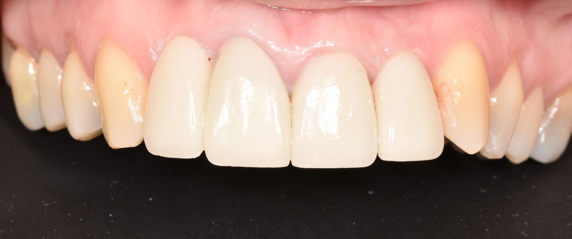
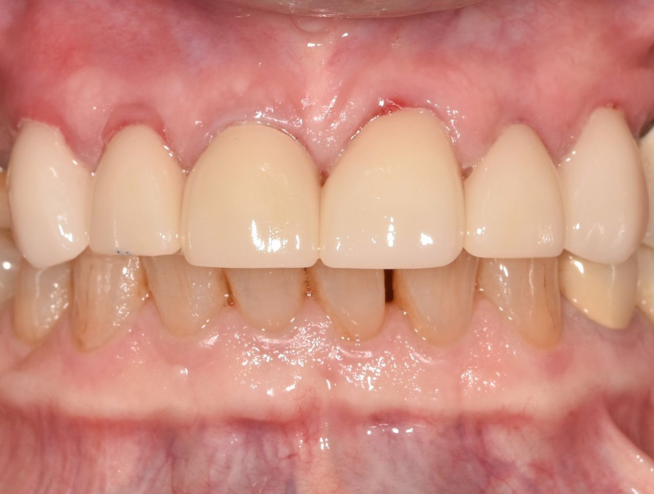
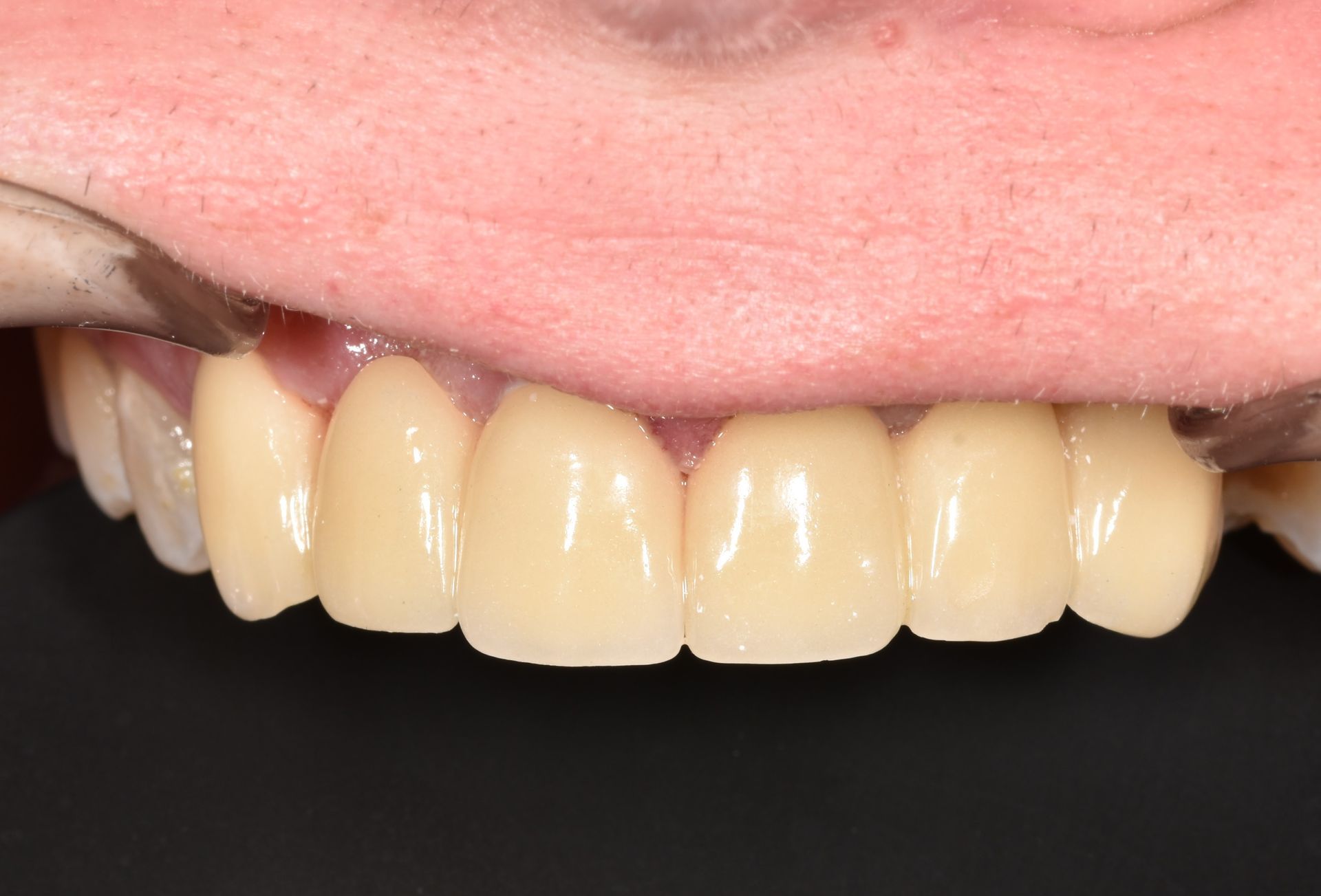
Smile Gallery 

At Hometown Smiles Dentistry, we're dedicated to providing exceptional dental care for your entire family in a warm, friendly, and comfortable environment. Led by the experienced and compassionate Dr. Ng, our team is here to ensure that your first visit is a pleasant and stress-free experience.

BOOK AN APPOINMENT

Our Smile Transformations