KöR Whitening® from Your League City Teeth Whitening Dentist
Ready to achieve a brighter, whiter smile in just one visit? Our professional in-office teeth whitening with KöR Whitening® offers a fast, effective solution to remove years of stains and discoloration, revealing a radiant smile you’ll love to show off.
Why Choose KöR Whitening®?
KöR Whitening® is a powerful, professional teeth whitening system designed to remove even deep, stubborn stains with minimal sensitivity. Unlike store-bought options, KöR uses high-strength gel kept cold for maximum effectiveness. Applied by our trained League City teeth whitening dentists, it delivers safe, long-lasting, and noticeably brighter results.
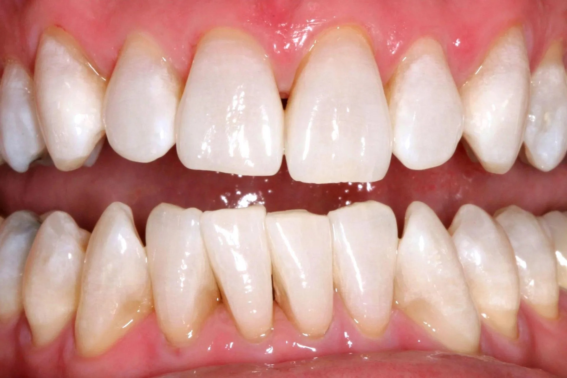
Before
After
What to Expect During Your Whitening Treatment
Consultation
Your League City teeth whitening dentist will assess your oral health and determine the best approach for your smile.
At-Home Whitening (2 Weeks)
Begin with two weeks of nighttime whitening using KöR’s custom-made, scalloped trays. These trays are designed to fit your teeth precisely and minimize saliva contamination, a common issue that deactivates whitening gels in other systems. By wearing your trays while you sleep (when saliva production is at its lowest), you achieve 6 to 10 hours of whitening activity, compared to the typical 25–35 minutes of effectiveness with most over-the-counter products.
In-Office Whitening Visit
After prepping your teeth with at-home treatment, you’ll come in for a single professional whitening session. This powerful in-office procedure amplifies your results, removing deep stains and brightening your smile even further.
Ongoing Maintenance
To maintain your brilliant results, you’ll occasionally use your trays at home for touch-up whitening. This ensures your smile stays vibrant for the long term.
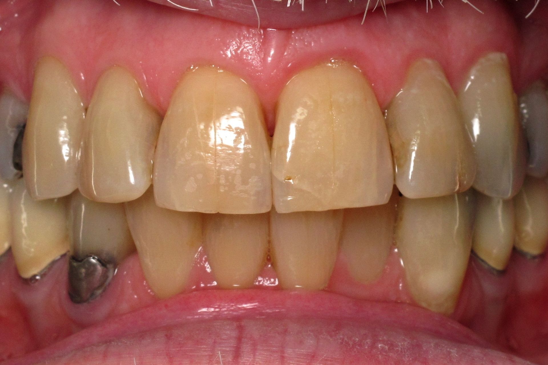
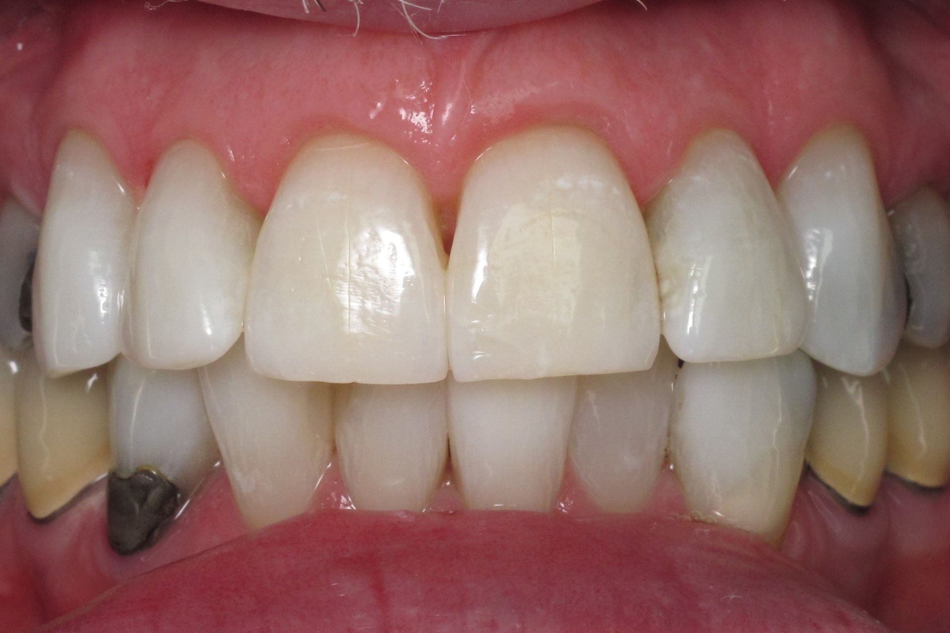
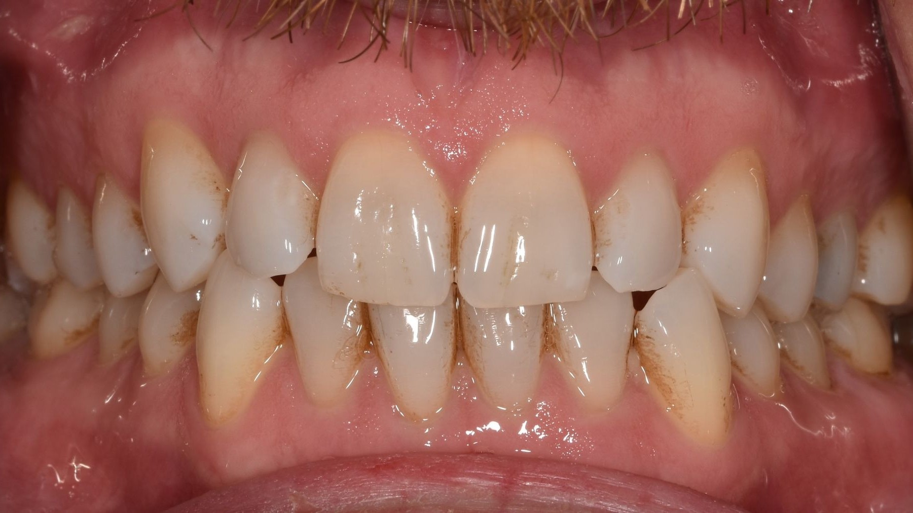
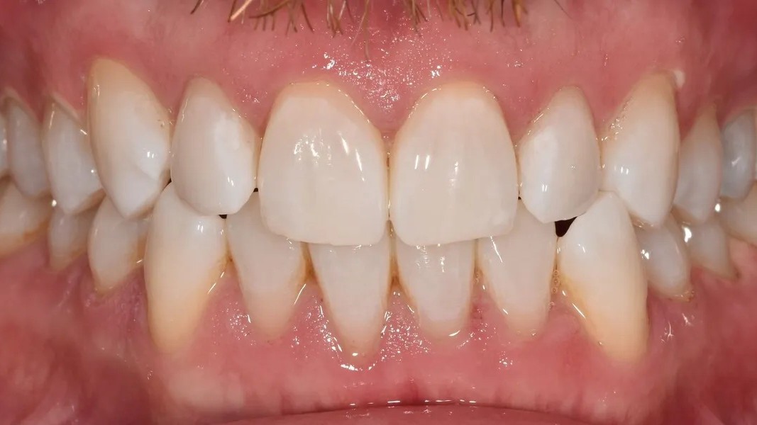
Before & After
Before/after images courtesy of KöR Whitening®.
Before
After
Before
After
Benefits of In-Office KöR Whitening®
Deep Stain Removal
Effectively whitens teeth stained by coffee, wine, tobacco, or even tetracycline (a type of antibiotic known to cause discoloration).
Little to No Sensitivity
KöR’s unique formula and application method greatly reduce the risk of tooth sensitivity.
Long-Lasting Results
With proper care and occasional maintenance, your bright smile can last for years.
No Lights or Lasers Needed
Unlike some whitening systems, KöR delivers dramatic results without the need for gimmicky light activation.
Safe and Supervised
Treatment is applied and monitored by your League City teeth whitening dentist for optimal safety and results.
Natural-Looking Results
Teeth are whitened evenly for a bright, yet natural appearance.
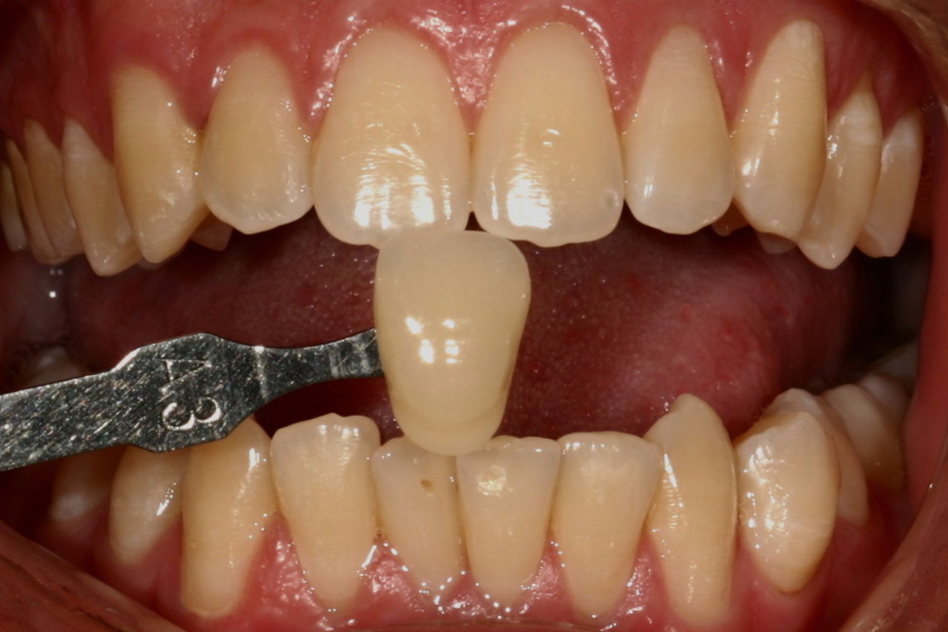
Before & After
Before/after images courtesy of KöR Whitening® & Hometown Smiles Dentistry.
Before
After
Before
After
Is KöR Whitening® Right for You?
KöR Whitening® is ideal for anyone looking to achieve a brighter, more confident smile—including those with deep or stubborn stains that haven’t responded to other treatments. Whether you have discoloration from aging, coffee, wine, or even tetracycline, KöR can deliver noticeable, lasting results. If you have healthy teeth and gums and want safe, professional whitening with little to no sensitivity, this in-office teeth whitening option may be the perfect fit.
Hear From Our Patients
We appreciate you taking the time to review Hometown Smiles Dentistry and helping us share the gift of excellent oral health and a beautiful smile.
Frequently Asked Questions
Why does KöR Whitening® work so well?
The KöR Whitening® System works by restoring your teeth’s youthful ability to absorb oxygen. The oxygen from the whitening gel is absorbed deeply into the tooth, dissolving and removing stain molecules.
Is it safe?
Whitening products have been clinically studied for more than three decades and safely used on millions of patients without harm to teeth or gums. KöR Whitening® is considered entirely safe.
Is there pain or discomfort with KöR Whitening®?
Many have experienced pain during teeth whitening. Maybe you’ve experienced it yourself. After years of research, development, and clinical testing, Dr. Rod Kurthy, the inventor of KöR Whitening®, introduced a whitening gel that, in most cases, produces little to no sensitivity. As a result, most patients have no discomfort from whitening when using this system. We have found KöR Whitening® to be the gentlest whitening system available.
How will coffee, tea, smoking and red wine affect my teeth after whitening?
With your easy home maintenance, these staining foods will have no effect on the long-term brilliant color of your teeth.
Does it matter how old I am?
Teeth are safely whitened at any age, however, the ideal age to begin whitening teeth is about 14 because the permanent teeth are usually all fully erupted in the mouth by that age. The younger the teeth are, the more brilliantly they whiten. However, KöR Whitening® rejuvenates even older teeth back to their youthful ability to whiten incredibly well, even if you’re 90 years old.
How white will my teeth get?
Our professional whitening solution lightens teeth dramatically, up to 16 shades or more. Although everyone is different, with the proper KöR Whitening® System, nearly all teeth will have stunning results. KöR even whitens tetracycline-stained teeth significantly, which was previously thought to be impossible!
Will my teeth look too white and unnatural?
No. They will just look beautifully white. If you have seen people with ultra-white, fake-looking teeth, these were probably false teeth, teeth with porcelain crowns, or porcelain veneers that may have been made too white and too opaque. With KöR Whitening®, you’ll get the ideal shade that’s right for you.
Will my crowns, veneers, or fillings whiten too?
No. If you have any of these on your front teeth, you may need to replace some of them after whitening.
Contact Us
Questions? We’d love to help!
Have questions or need to schedule an appointment? We’re here to help! Contact Hometown Smiles Dentistry by phone, email, or by filling out our convenient online form. Our friendly team is ready to assist you with all your dental care needs and ensure you receive the personalized attention you deserve. We look forward to hearing from you!
PHONE
(281) 672-9234
FAX
(281) 816-5390
HOURS
Monday-Friday: 9:00 am - 5:00 pm
Have a Dental Problem?
Don’t wait. Call us at (281) 672-9234 or make an appointment.









